DRENAJE PERCUTÁNEO DE COLECCIONES ABDOMINALES
Presentado en el Congreso del Hospital Abel Gilbert Pontón 2021

DRA. PRISCILLA NAVARRETE ROSADO
Médico Residente del Servicio de Cirugía General del
Hospital Dr. Abel Gilbert Pontón
Correo: Priscilla_michelle2212@hotmail.com
ORCID: https://orcid.org/0000-0003-1744-9499
Guayaquil – Ecuador
DR. ROSADO COELLO LINDEMBERTH
Médico general del Hospital Abel Gilbert Pontón
Correo: linmedi@hotmail.com
ORCID: https://orcid.org/0009-0004-8421-0810
Guayaquil – Ecuador
DRA. KERLY SANTILLAN VERA
Médico General
Correo: drakerlysantillan@gmail.com
ORCID: https://orcid.org/0009-0002-9259-037X
Guayaquil – Ecuador
Publicado como artículo científico. Revista Facultad de Ciencias Médicas -Vol. 5 Edición N°1 Periodicidad semestral Enero- Junio ISSN 2661–6726
RECIBIDO: 15/11/2023
APROBADO: 05/01/2024
RESUMEN
El objetivo de este trabajo es evaluar los resultados y complicaciones del drenaje percutáneo de colecciones abdominales, realizados por cirujanos en la Unidad de Emergencia. Se diseño un protocolo prospectivo a ser aplicado a todos los pacientes con colecciones intra-abdominales que fueron evaluados en la Unidad de Emergencia del hospital Guayaquil “Abel Gilbert Pontón” o que habiéndose diagnosticado en otra unidad fueron derivados para evaluación.
Entre Enero del 2009 a Diciembre 2010 se evaluó 30 pacientes; nuestro resultados demuestran que el drenaje percutáneo de colecciones intraabdominales realizado por cirujanos es un método seguro y eficiente con un bajo índice de complicaciones y un éxito superior al 93% al ser utilizado como único tratamiento asociado a antibióticos. Los resultados fueron, curativo 70% de los casos, paliativo en el 23% de los casos y fracaso 7%.
En muchos casos debería ser considerado el tratamiento de elección, pero hay circunstancias especiales que requieren otros tratamientos específicos. Los abscesos típicos localizados en órganos de parénquimas sólidos y en el seno del peritoneo son fácilmente diagnosticados por los diferentes medios de imágenes y se pueden drenar de manera eficiente.
El tratamiento percutáneo, supone una alternativa válida al tratamiento quirúrgico tradicional, bien como tratamiento definitivo, bien como tratamiento paliativo que nos permite mejorar el estado clínico del paciente de forma previa a la cirugía.
Palabras clave: Colecciones intraabdominales, drenaje percutáneo.
SUMMARY
We report the results and complications of percutaneous drainage of intraabdominal abscesses performed by surgeons at an Emergency Unit. A prospective protocol was designed for its application in all patients with suspected intraabdominal abscesses evaluated at the Emergency Unit of the Hospital Guayaquil “Abel Gilbert Pontón” and to patients transferred fron other Units for evaluation.
Between January 2009 and December 2010, 30 patients; our results show that percutaneous drainage of abdominal abscesses perfomed by sugeons is a safe and efficient method with a low index of complications and a succes rate of more than 93% either as the only treatment or associated to antibiotics. The resuld was curative in 70% of cases, paliative in 23% and fail in 7% .
In many cases, it should be considered the treatment of choice, but there are certain circumstances that require specific approaches and methods. Typical abscesses within solid parenchymal organs or those in the peritoneal spaces can be reliably detected by imaging techniques and efficiently drained.
Percutáneos drainge, has been established as a viable alternative to surgical intervention. This method can resolve the abscess or improve the patient clinical status to undergo elective surgery.
Keywords: Intraabdominal abscesses, percutaneous drainage.
INTRODUCCIÓN
El diagnóstico y tratamiento de las colecciones intraabdominal, abscedada o no, ha constituido un gran problema debido al retraso en su diagnóstico y alta mortalidad. Pero en los últimos años con el gran desarrollo tecnológico en equipos de diagnósticos (Rx, ecografía y tomografías) y catéteres, el DRENAJE PERCUTANEO de las colecciones, ha demostrado su efectividad y seguridad convirtiéndose en una alternativa al tratamiento quirúrgico. Los primeros informes de drenaje percutáneos se remontan a 1979 antes, tiempo atrás, alrededor de 1938 se cumplían con los criterios establecidos de Ochsner y De Bakey es decir el drenaje a cielo abierto.
La literatura mundial reporta un éxito en el procedimiento en más del 80%, sobre todos en colecciones localizado, peritonitis localizadas, abscesos localizados, diagnosticados con método ecográfico y medidos con métodos tomo gráficos, experiencia del médico cirujano o radiólogo intervencionista, que haya una ruta segura sin atravesar asas intestinales, vísceras solidas o cavidades estériles como pleura y por último parámetros de coagulación normales.
Indicaciones del drenaje percutáneo:
a) Colecciones viscerales. - Hígado (absceso amebiano, piógeno, hematomas infectados, quistes) fotos 1, 2.. Bazo (abscesos, quistes, hematomas) fotos 5, 6.. Páncreas (Pseudoquiste, absceso).
b) Colecciones intraperitoneales. - Colecciones postquirúrgicas fotos 3, 4, biliomas, absceso pélvico, absceso peri-diverticular, abscesos asociados a apendicitis, abscesos sub-hepaticos y subfrénicos, etc.
c) Colecciones retroperitoneales. - Abscesos perirrenales, abscesos del psoas, etc.
Contraindicaciones del drenaje percutáneo:
a) Que la colección se encuentre cerca de estructuras vitales.
b) Que la colección a ser drenada sea de difícil acceso.
c) Paciente con coagulopatía (relativa)
d) Quiste hidatídico (relativa)
e) Hematomas coagulados
f) Tejidos necróticos que requieran desbridamiento
g) Imposibilidad del paciente para colaborar.
h) Inestabilidad hemodinámica
i) Embarazadas.
Causas más frecuentes de fracaso de drenaje percutáneo:
a) Hematoma coagulado
b) Flemón
c) Tumor subyacente
d) Asociación absceso-fistula
e) Asociación absceso-cuerpo extraño.
Ventajas y desventajas de la tomografía y la ecografía en la utilización del drenaje:
TOMOGRAFÍA
Ventajas. - Sensibilidad el 98%. Imágenes más simples de comprender. Excelente visualización de vísceras profundas. El gas intestinal y el hueso no interfieren en las tomas.
Desventajas. - Procedimiento más lento. Es más caro. Difícil de conseguir angulaciones en el procedimiento de drenaje.
ECOGRAFÍA
Ventajas. - Sensibilidad del 80%. Costo bajo. Es rápida y de tiempo real. Mayor facilidad para conseguir diferentes angulaciones en el procedimiento. No utiliza radiación.
Desventajas. - Los gases intestinales y los huesos provocan interferencia en las tomas
MATERIALES Y METODOS.
Mediante la utilización de un protocolo prospectivo (Datos de filiación y criterios de Inclusión), se realiza la recolección de datos de los pacientes que van a ser sometidos a Drenaje percutáneo de colección intraabdominal, de enero del 2009 a diciembre 2010 (dos años de experiencia).
Criterios de inclusión:
-Paciente estable con masa palpable en uno o dos cuadrantes del abdomen.
-Paciente inestable, con masa palpable en uno o dos cuadrantes, con contraindicación quirúrgica.
-Absceso localizado, encapsulados demostrado por TAC.
-Que haya continuidad total o parcial del tubo digestivo o conductos accesorios.
-Ecografía que revele nivel liquido localizado.
-Tomografía de abdomen con o sin contraste en dos proyecciones.
-Coagulograma dentro limites normal.
-Medico intervencionista con conocimiento de imágenes y anatomía.
Preparación del paciente para el drenaje percutáneo:
· Profilaxis con antibióticos adecuados
· Analgesia y sedación previa al procedimiento
· Evaluar el estado de la coagulación del paciente, mediante TP, TPT y conteo de plaqueta.
· Ayuno previo de 6 a 8 horas.
· Monitorización: EKG, pulso, presión arterial y Oximetría.
Procedimiento:
1.- Cumplir con los criterios de inclusión.
2.- Cirujano se debe de proteger para evitar contaminación (bioseguridad)
3.- Se realiza asepsia de área quirúrgica, colocamos campo estéril, se infiltra en el lugar escogido por ecografía o tomografía, donde se realiza pequeña incisión, introducimos el drenaje por punción dirigida con el ecógrafo o por visualización de tomografía.
4.- al comprobar la salida de líquido, se introduce unos centímetros más el drenaje el cual se fija con hilo de sutura y se conecta a una funda recolectora.
Los estudios que se deben de realizar al líquido extraído deben ser:
· Bioquímico
· Citológico
· Cultivos y antibiograma
· Gram.
EL PROCEDIMIENTO SE LO UTILIZÓ EN:
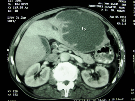
1. Absceso hepático
Ilustración 1 Tomografía con absceso hepático del lóbulo derecho

Fuente: Hospital de Especialidades Guayaquil “Doctor Abel Gilbert Pontón”.
Autor: Dr. Fernando Moncayo A.
Ilustración 2 Drenaje mediante introducción de sonda Nelaton y extracción de líquido purulento

Fuente: Hospital de Especialidades Guayaquil “Doctor Abel Gilbert Pontón”.
Autor: Dr. Fernando Moncayo A.
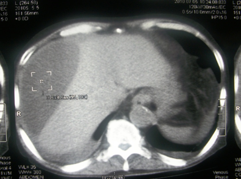
2. Colecciones por complicaciones postquirúrgica, fístulas
Ilustración 3 Tomografía con imágenes de colección liquida días después de apendicetomía

Fuente: Hospital de Especialidades Guayaquil “Doctor Abel Gilbert Pontón”.
Autor: Dr. Fernando Moncayo A.
Ilustración 4 Drenaje con sonda nelaton de material fecal, producto de una fístula intestinal luego de una apendicetomía

Fuente: Hospital de Especialidades Guayaquil “Doctor Abel Gilbert Pontón”.
Autor: Dr. Fernando Moncayo A.
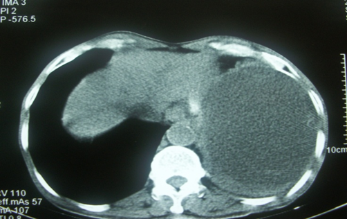
3. Hematoma intraabdominal localizados, sin compromiso hemodinámico
Ilustración 5 Tomografía abdominal con Hematoma esplénico localizado sin compromiso hemodinámico

Fuente: Hospital de Especialidades Guayaquil “Doctor Abel Gilbert Pontón”.
Autor: Dr. Fernando Moncayo A.
Ilustración 6 Introducción de sonda nelaton para extraer liquido hemático (sangre) en paciente con trauma esplénico crónico

Fuente: Hospital de Especialidades Guayaquil “Doctor Abel Gilbert Pontón”.
Autor: Dr. Fernando Moncayo A.
RESULTADOS
Se realizó punción percutánea en 30 pacientes en el lapso de 2 años de los cuales 72% eran del sexo masculino y 28% del sexo femenino, con una edad promedio de 35 años.
El germen más frecuente aislado fue la Escherichia coli 71% (Resistente a la ampicilina, cefazolina, ciprofloxacina, trimetoprima y Sensible a la amikacina, imipenem, ceftriaxona, gentamicina, clindamicina, aztreonan, ertapenen). Otro germen aislado fue: Enterobacter 18%, Klebsiella pneumoniae 8%, Staphylococcus aureus 2%, otros 1% (sensibles al imipenem, amikacina, clindamicina).
Recibieron todos antibioticoterapia con ceftriaxona o imipenen y amikacina o gentamicina, solo el 15% requirió triple esquema con metronidazol o clindamicina. La sintomatología clínica remitió en la mayoría de los pacientes (93%) a las 48 horas luego del drenaje percutáneo. Y reapareció en 23 % de los casos, por lo cual requirió un tercer esquema y otro tipo de tratamiento, drenaje quirúrgico.
Los pacientes fueron diagnosticados en primera instancia mediante la ecografía y ratificado con tomografía para su localización exacta, composición y tratamiento. La ecografía fue utilizada en el procedimiento solo en un 65% como auxiliar en el procedimiento. El promedio de volumen de las colecciones fue de alrededor de 1500 CC.
Una vez comprobado mediante TAC de control la resolución de la colección. la mejoría clínica y flujo de salida menor a 10cc diario por dos días consecutivos, se procedió a retirar el drenaje, para 24 horas luego darse de alta a los pacientes y su valoración por consulta externa. No hubo complicación imputable al procedimiento.
Tabla 1 Colecciones establecidas en cinco grupos según su localización y etiología
|
LAS COLECCIONES SE LAS ENCASILLO EN CINCO GRUPOS SEGÚN SU LOCALIZACIÓN Y ETIOLOGÍA: |
|
|
Abscesos de órganos retroperitoneales |
6 pacientes. |
|
Abscesos de vísceras solidad abdominales |
8 pacientes. |
|
Colecciones postquirúrgica |
11 pacientes |
|
Absceso de vísceras huecas. |
2 pacientes |
|
No determinados |
3 pacientes |
Tabla 2 Los síntomas predominantes de ingreso
|
Los síntomas predominantes de ingreso de los pacientes fueron: |
|
|
Síntomas |
Porcentaje |
|
Dolor abdominal |
100% |
|
Alza térmica |
75% |
|
Náuseas, vómitos |
60% |
|
Taquicardia con hipotensión |
40% |
|
Otros |
10% |
Tabla 3 Sintomatología de los pacientes
|
El procedimiento produjo como resultado en los síntomas de los pacientes: |
|
|
Mejoría |
93% |
|
No mejoría: |
7% |
Tabla 4 Germen aislado en la muestra de líquido extraído
|
Escherichia coli |
71% |
|
Enterobacter |
18% |
|
Klebsiella |
8% |
|
Multibacterial |
3% |
Ventajas del drenaje percutáneo:
· Baja morbi-mortalidad (evita cirugía y sus riesgos)
· Recuperación más rápida
· Menor tiempo hospitalario y menor costo.
Ilustración 7 Resultado final del procedimiento
![]() |
Fuente: Hospital de Especialidades Guayaquil “Doctor Abel Gilbert Pontón”.
Autor: Dra. Priscilla Navarrete Rosado
DISCUSIÓN
Durante muchos años la cirugía abierta fue el método de diagnóstico y tratamiento de las colecciones intrabdominales y retroperitoneales con resultados diversos.
La utilización de la punción percutánea en colección abdominales (primeros reportes en 1979) e incluso en retroperitoneales como los abscesos del psoas, es una alternativa válida para evitar una intervención quirúrgica, es de fácil aplicación, baja mortalidad y costo bajo. Hace mucho tiempo atrás el tratamiento de absceso y colecciones eran realizado siempre con drenaje quirúrgico a cielo abierto siguiendo los criterios establecidos por Ochsner y DeBakey en 1938 (drenar y remover tejidos desvitalizados).
Actualmente la posibilidad de contar con ecografía y TAC se puede realizar un diagnóstico precoz de la colección, drenaje inmediato con disminución de riesgo de infección y con ello mejor el cuadro clínico del paciente.
En concordancia con la literatura internacional podemos concluir que el Drenaje Percutáneo, es una técnica segura y con buen resultado, baja morbi-mortalidad, evitando cirugías mayores y anestesia general, con recuperación más rápida con menor tiempo y costos hospitalarios; pero, siempre teniendo en consideración que el médico intervencionista debe de estar familiarizado con la técnica, la interpretación de imágenes y gran conocedor de la anatomía abdominal.
Algunos estudios han obtenido muy buenos resultado con el drenaje percutáneo más la aplicación de fibrinolítico, con la desventaja que no puede ser aplicado en pacientes con sangrado activo, o con problemas de coagulación, accidentes cerebro-vasculares hemorrágicos el embarazo y la lactancia además del costo elevado del fibrinolítico y la dificultad para adquirirlo en nuestro medio (urocinasa).
CONCLUCIONES
La expectativa de esta técnica dependerá de la causa original de la colección, la presencia o no de secreción purulenta y el grado de infección; el drenaje es eficaz en el tratamiento de colecciones o absceso que no se han diseminado. Las complicaciones serán las apariciones de abscesos o colecciones recurrentes (reaparición del problema), que en el procedimiento ocurra una ruptura a cavidad con diseminación o generalización del proceso o que ocurra una perforación de víscera hueca o vaso sanguíneo con hemorragia activa.
En nuestro estudio de 30 pacientes, 28 experimentaron mejorías clínicas significativa a las 24 a 48 horas luego del procedimiento y fueron dado de alta médica en un promedio de 7 a 10 días; 2 casos no se obtuvieron mejoría y se intervinieron quirúrgicamente de forma inmediata y dados de alta en un promedio de 15 – 20 días. Es decir que la efectividad de la técnica es de un 93 %, es de fácil aplicación en manos de un cirujano o imaginologo experimentado y seguro con bajo margen de complicaciones, costos bajos y con disminución del tiempo hospitalario. Esta técnica evita nuevas incisiones (relaparotomía), evita el riesgo de anestesia general y mejor tolerada por el paciente.
El tratamiento percutáneo de las colecciones abdominales y retroperitoneales (absceso del psoas) es una alternativa válida al tratamiento quirúrgico tradicional, tanto como tratamiento definitivo como tratamiento paliativo, tal como hemos visto en este trabajo; también nos permitió mejorar el estado clínico de los pacientes que necesariamente tenían que ser intervenidos quirúrgicamente.
En la actualidad el manejo quirúrgico a cielo abierto de las colecciones abdominales se reserva solo para aquellos casos en los cuales el drenaje percutáneo es inapropiado o fue insatisfactorio.
Fotos: Dr. Fernando Moncayo A
RESPONSABILIDADES ÉTICAS:
No se menciona datos de filiación de paciente ni lugar del evento.
CONFLICTO DE INTERESES:
Los autores no refieren ningún conflicto de interés en esta obra.
BIBIOGRAFÍA
1. Bertel C, Van Heerden J. Tratamiento de absceso hepático piógeno: Cirugía vs drenaje percutáneo, Arch Surg 1986 N° 121, Pág. 554.
2. Beraudo M, Chaw O. Drenaje percutáneo guiado de absceso intracavitario. Rev. Erg. Cirug 1997, N° 73, Pág. 137 – 139.
3. Castro M, Eulufi A. Drenaje percutáneo de abscesos intra-abdominales (AIA) guiado por TAC. Rev. Chilena de Cirugía. Vol. 56, N° 4, Junio 2004; pág. 346 – 349.
4. Catan F, Altamirano C. Drenaje percutáneo de colecciones intra-abdominal guiado por ecografía en Unidad de Emergencia. Rev. Chilena de Cirugía. Vol. 55, N° 1, Febrero 2003; Pág. 20 – 24.
5. De Gregorio M, MIguelena J. Drenaje de colecciones abscesificadas abdominales. Cir. Española. 2005; 77 (6), pág. 315 – 20.
6. Fernández A. Drenaje Percutáneo de Colecciones Abdominales. Monografia.com. Servicio de Cirugía General. Hospital Universitario Carlos Manuel Céspedes. Bayano – Cuba. 2005.
7. Gerzof S, Johnoson W. Drenaje percutáneo de abscesos abdominal con catéter. N Engl J Med. 1998; N° 305, Pág. 653 – 7.
8. Giménez M, Suarez Anzorena F. Drenaje percutáneo de absceso intra-abdominales. Rev. Arg. Cirug 1996; N° 70, Pág. 188 – 192.
9. Hemming A, Davis N. Cirugía versus drenaje percutáneo en abscesos intra-abdominal. Am J Surg . 1991, N° 161, pág. 593 – 5.
10.Lopera J, Toro N. drenaje percutáneo de colecciones abdominales. Rev. IATREIA, Vol. 8, N° 3, Septiembre 1995; Pág. 107 – 111.
11.Macías Ma. Manejo guiada por ecografía de las colecciones del área pancreática. Rev. Española Eco-Digestiva N* 27. Suplemento III Pág. 1 – 5.
12.Pitt H. Manejo quirúrgico de absceso hepático. World J Surg. 1990 N° 14 Pág. 498.
13.Rendón P. Valoración del drenaje percutáneo guiado por ecografía del absceso abdominal no parenquimatoso. Rev. Española de Eco-Digestivo 2001. N* 3. Pág. 1 – 5.
14.Rendón U. drenaje de colecciones abdominales indicaciones y resultados. RAPD ONLINE Vol. 31 N* 2. Mayo - Agosto 2008.
15.Serra E, Uffelman M. Procedimiento percutáneo para el diagnostico y tratamiento de las colecciones post-operatorias. Resumen del Hospital Escuela “José Francisco de San Martin”. Corriente Argentina 2001.
16.Tejido Sánchez A. Tratamiento Percutáneo de los Abscesos Retroperitoneales. Actas urológicas española. N* 24, febrero 2000. Pág. 131.
17.Vansonnenberg E, De Agostino H. Drenaje percutáneo de absceso abdominal. Rev. Radiology 1991 N° 181. Pág. 617 – 626.
18. Wall L, Doherty G. Current Surgical Diagnosis & Treatment 11 ed. 2003; Pág. 517 – 32.