"RENACIENDO DEL PELIGRO: HISTORIA DE ÉXITO EN LA REPARACIÓN DE PSEUDOANEURISMA VENTRICULAR, MAGNÍFICA UTILIDAD ECOCARDIOGRÁFICA".

Reporte de un caso.

 

 

DRA. MARÍA SÁNCHEZ SÁNCHEZ

Jefe de Unidad Coronaria Hospital de Especialidades Abel Gilbert Pontón.

Correo: missdosanc@gmail.com

ORCID: orcid.org/0009-0007-8046-9923

Guayaquil – Ecuador

 

DRA. CECILIA BAQUERIZO SUÁREZ

Médico postgradista de Cardiología, Universidad de Especialidades Espíritu Santo.

Correo: draceciliabaquerizo@gmail.com

Guayaquil – Ecuador

 

 

 

DR. GEOVANNY MERA BRAVO                                          

Cardiólogo, Servicio de Cardiología, Hospital Abel Gilbert Pontón 

Correo: drgeo_mera82@hotmail.com

ORCID: orcid.org/0009-0001-5139-8229

Guayaquil – Ecuador

 

DR. ALEJANDRO VILLAR INCLAN

Jefe del servicio de Cirugía Cardiovascular, Hospital de Luis Vernaza de la Junta de Beneficiencia de Guayaquil.

Correo: villarinclan5@yahoo.es

Guayaquil – Ecuador

                                                       

Publicado   como   artículo   científico. Revista Facultad de Ciencias Médicas -Vol.  5 Edición N°1 Periodicidad semestral Enero- Junio ISSN 2661–6726

 


RECIBIDO: 12/12/2023

APROBADO: 06/01/2024

 

RESUMEN

    El pseudoaneurisma ventricular o rotura miocárdica incompleta que puede producir una fuga hemorrágica progresiva de escape sanguíneo al mediastino por una zona estrecha, dicho flujo es contenido por el pericardio, el mismo se encuentra tapizado por formaciones trombóticas, cabe recalcar que la pared de este pseudoaneurisma no contiene pared miocárdica. De cual influyen diversos factores, entre uno de ellos mencionamos a la capacidad de adaptación del pericardio que determina el desenlace clínico ya que pudiese producirse taponamiento cardiaco agudo o eventos tromboembólicos que puede conllevar a la muerte, cuya localización más frecuente es de zona posterior como nuestro caso que fue de localización posterobasal comprometiendo al septum interventricular.  Se presenta el caso de una mujer que acude a nuestro hospital e ingresa a Unidad Coronaria por cuadro de insuficiencia cardiaca congestiva con antecedentes de internación en otro centro hospitalario por sospecha de enfermedad autoinmune,realizando múltiples estudios diagnósticos entre ellos biopsia de pleura y pericardio.

En control ecocardiográfico evidenciamos la presencia de un gran pseudoaneurisma del ventrículo izquierdo (VI). La siguiente revisión es de un caso clínico, su diagnóstico ecocardiográfico y el tratamiento quirúrgico correctivo de esta afección.

 

Palabras clave: Pseudoaneurisma ventricular, complicación iatrogénica post biopsia diagnóstica, corrección quirúrgica de pseudoaneurisma. 

 

 

ABSTRACT

 

"Reborn from Danger: Success Story in Ventricular Pseudoaneurysm Repair, magnificent echocardiographic utility." Clinical case report.

 

Ventricular pseudoaneurysm or incomplete myocardial rupture that can produce a progressive hemorrhagic leak of blood escape to the mediastinum through a narrow area, said flow is contained by the pericardium, it is covered by thrombotic formations, it should be noted that the wall of this pseudoaneurysm does not contains myocardial wall. Which is influenced by various factors, among them we mention the adaptation capacity of the pericardium that determines the clinical outcome since acute cardiac tamponade or thromboembolic events could occur that can lead to death, the most frequent location of which is in the posterior area like ours. case that was posterobasal located compromising the interventricular septum. The case of a woman who comes to our hospital and enters the Coronary Care Unit due to congestive heart failure with a history of hospitalization in another hospital for suspected autoimmune disease is presented. Multiple diagnostic studies were performed, including a biopsy of the pleura and pericardium.

In echocardiographic control we evidenced the presence of a large pseudoaneurysm of the left ventricle (LV). The following review is of a clinical case, its echocardiographic diagnosis and corrective surgical treatment of this condition.

 

Keywords: Ventricular pseudoaneurysm, iatrogenic complication after diagnostic biopsy, surgical correction of pseudoaneurysm.

 

 

 

INTRODUCCIÓN

 

El pseudoaneurisma ventricular se define como una perforación de la pared libre del ventrículo, que queda contenido por el pericardio adyacente y por adherencias. Son más frecuentes tras un IM (infarto de miocardio) inferior 1. El primer pseudoaneurisma cardíaco fue descrito en 1797 por Corvisart y posteriormente en 1967, Roberts y Morrow describieron un pseudoaneurisma ventricular sintomático post infarto agudo de miocardio 2.

En la ecocardiografía aparecen como espacios libres de ecos o cámaras extra adyacentes y contiguas con la cavidad del VI (ventrículo izquierdo). El aspecto puede ser similar al de un aneurisma verdadero del VI o un divertículo, pero, a diferencia de lo que sucede en estos dos procesos, en el pseudoaneurisma se observa una pérdida de las tres capas de la pared: endocardio, miocardio y epicardio. Por eso, es más probable encontrar en el pseudoaneurisma una serie de rasgos característicos, como un cuello más estrecho de bordes rasgados, y un flujo bidireccional turbulento (en contraste con los márgenes más lisos y el patrón de flujo más lineal típicos de los aneurismas verdaderos). Sin embargo, no existe un criterio ecocardiográfico aislado lo bastante específico para distinguir con precisión un pseudoaneurisma del VI de un aneurisma verdadero. Los contrastes ecocardiográficos intravenosos pueden resultar muy útiles para delimitar la zona de perforación y extravasación al espacio pericárdico si el paciente está lo bastante estable 1.

Aunque los pseudoaneurismas son típicamente complicaciones subagudas del IM y pueden sangrar de forma abrupta, un buen porcentaje de pseudoaneurisma están sorprendentemente estables y pasan desapercibidos durante meses e incluso años 1.  Otras causas menos frecuentes son: manipulación de las cavidades cardíacas tras procedimiento quirúrgico y/o diagnóstico, trauma torácico penetrante o cerrado, endocarditis y raramente, tras pericarditis supurativa o por infiltración tumoral.3

En este artículo presentamos una paciente con Pseudoaneurisma del VI post biopsia pericárdica que es un procedimiento diagnóstico.

 

Caso clínico

Paciente femenina de 38 años de edad, presenta antecedentes de internación en centro hospitalario por diagnóstico de COVID-19, presentado posterior a alta cuadro disnea progresiva la cual se mantiene por 3 meses, reingresa a centro hospitalario por ortopnea, edema de miembros inferiores y astenia marcada,

Durante estancia hospitalaria se sospecha de enfermedad autoinmune por lo que se realizaron estudios complementarios, se evidencia derrame pericárdico y derrame pleural bilateral, poliserositis entre los estudios realizan biopsia de pericardio y pleura a cielo abierto por ventana pericárdica y toracotomía, cuyos resultados reportan  pleuritis aguda y crónica severa hemorrágica y pericarditis aguda, crónica severa hemorrágica con vasos congestivos con extenso infiltrado inflamatorio linfomonoplasmocitario alternando focos de vasos hemorrágicos  rodeados por bandas de fibrosis, cumple 15 días de hospitalización con mejoría clínica y es dada de alta.

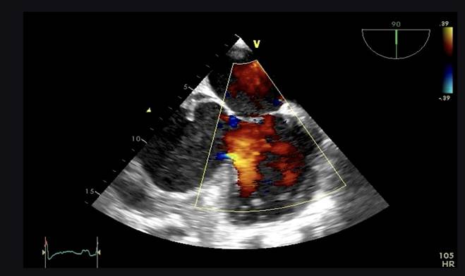
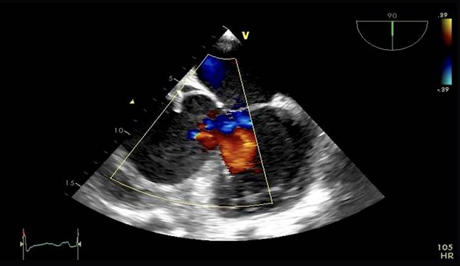
Aproximadamente 3 Semanas posterior al alta presenta cuadro de insuficiencia respiratoria asociado a insuficiencia cardiaca descompensada por lo que acude a nuestro Hospital de Especialidades Abel Gilbert Pontón siendo internada en Unidad Coronaria, a su ingreso se evidencia dolor precordial y torácico bilateral que irradia a región dorsal acompañado de disnea clase funcional NYHA IV/IV, tos persistente y edema leve de miembros inferiores, los laboratorios realizados evidencian anemia leve con hb 10.8 g/dL, péptido natriurético elevado de 12895 pg/ml, enzimas cardiacas negativas, hematuria y proteinuria en uroanálisis; en la radiografía de tórax se muestra cardiomegalia y derrame pleural bilateral; En electrocardiograma taquicardia sinusal, dextrorrotación, complejo QS en cara inferior, sin alteraciones de la onda T y segmento ST. En eco de pleura muestra derrame pleural derecho de moderada a gran cuantía y derrame pleural izquierdo moderado, sospechando de colagenopatía vs enfermedad autoinmune a descartar. Se realiza ecocardiograma transtorácico se evidencia formación aneurismática del VI de 9.5cm x 9.7cm tapizado por trombos con pérdida de la continuidad a nivel perimembranoso septal, además de una miocardiopatía dilatada con FEVI (fracción de eyección del ventrículo izquierdo) 28%. El estudio de líquido pericárdico da como resultado exudado con relación líquido/sérica de LDH 1,8 y proteína 0,7. En ecocardiograma transesofágico (Ilustración 1,2,3) se confirma pseudoaneurisma de gran tamaño del VI en región basal posterior con flujo bidireccional de 10 cm x 7,22cm tapizado de formación trombótica con pérdida de la continuidad de la región basal y posterior del VI con hipocinesia global e hipertensión pulmonar leve con insuficiencia mitral y tricuspidea leve por lo que se decide resolución quirúrgica.

 

Ilustración 1 Ecocardiograma Transesofágico. Pseudoaneurisma del VI en su porción septal

 

 


 

 

Fuente: Hospital de Especialidades Guayaquil “Doctor Abel Gilbert Pontón”.

Autor: Dra. María Sánchez Sánchez.

 

 

Ilustración 2 Ecocardiograma Transesofágico. Pseudoaneurisma del VI en su porción septal

 


 

 

Fuente: Hospital de Especialidades Guayaquil “Doctor Abel Gilbert Pontón”.

Autor: Dra. María Sánchez Sánchez.

 

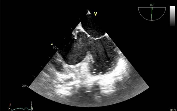
Ilustración 3 Ecocardiograma transesofágico. Pseudoaneurisma del VI

 


 

Fuente: Hospital de Especialidades Guayaquil “Doctor Abel Gilbert Pontón”.

Autor: Dra. María Sánchez Sánchez.

 

 

Ilustración 4 Se puede apreciar el orificio y la inserción del músculo papilar con las cuerdas.

 


 

 

 

Fuente: Hospital de Especialidades Guayaquil “Doctor Abel Gilbert Pontón”.

Autor: Dra. María Sánchez Sánchez.

 

 

 

Ilustración 5 Colocando el parche de dacron

 

 


 

Fuente: Hospital de Especialidades Guayaquil “Doctor Abel Gilbert Pontón”.

Autor: Dra. María Sánchez Sánchez.

 

 

El tratamiento consistió en reparación quirúrgica del pseudoaneurisma usando parche de Dacron para tapizar el sitio de ruptura miocárdica cubriendo parte del septum y segmento posterior, se realiza ecocardiograma transquirúrgico.

 

Ilustración 6 Evidencia mejoría inmediata de la FEVI 58%.

 

 


 

 

Fuente: Hospital de Especialidades Guayaquil “Doctor Abel Gilbert Pontón”.

Autor: Dra. María Sánchez Sánchez.

 

 

Ilustración 7 Lugar donde se colocó el parche de Dacron

 


 

Fuente: Hospital de Especialidades Guayaquil “Doctor Abel Gilbert Pontón”.

Autor: Dra. María Sánchez Sánchez.

 

 

Posterior al alta se realizan controles por consulta externa en nuestro hospital, paciente con mejoría clínica marcada que se evidencia en la tolerancia al decúbito dorsal presentando además cambios beneficiosos en su clase funcional de la NYHA I/IV, en su FEVI al doble en comparación a la FEVI inicial, se mantiene medicación ambulatoria para insuficiencia cardiaca. El control ecocardiográfico 3 meses posteriores al evento muestra trastornos de motilidad en cara inferior con un strain sistólico pico GLPS: -13.5%, mejoría de la FEVI del 44% ilustación 8 y Fig 9, ya no se visualiza Pseudo Aneurisma del septum interventricular persistiendo una pequeña alteración morfológica de la pared inferior del VI que se confirma con la deformidad pico longitudinal disminuida a predominio de la pared inferior basal.

 

 

 

Ilustración 8 Strain sistólico


 

Fuente: Hospital de Especialidades Guayaquil “Doctor Abel Gilbert Pontón”.

Autor: Dra. María Sánchez Sánchez.

 

 

Ilustración 9 Ojo de buey


 

 

 

Fuente: Hospital de Especialidades Guayaquil “Doctor Abel Gilbert Pontón”.

Autor: Dra. María Sánchez Sánchez.

 

Ecocardiografía posterior a cirugía donde evidencia área discinética como secuela de reparación quirúrgica Fig 8 y 9.

 

 

DISCUSIÓN

Lo interesante de este caso es que la paciente acude con un cuadro de poliserositis el cual le realizan todas las pruebas serológicas e inmunológicas las cuales salieron negativas, se desconoce aún la etiología del síndrome inflamatorio que le conllevo a la disnea de mínimos esfuerzos, su etiología paso a un segundo plano al momento que se comprometió la hemodinamia de la paciente con el pseudoaneurisma ventricular que desde su inicio dio similar sintomatología de poliserositis por lo que sospecha en una recidiva.

La ecocardiografía sigue siendo la prueba de imagen cardiaca exhaustiva más utilizada y, a menudo, es la primera técnica de elección para la valoración de la estructura y función cardíaca 4. Comparada con otros métodos de imagen, la ecocardiografía se puede realizar con rapidez, produce muy escasa incomodidad o riesgo al paciente, y aporta información clínicamente importante de forma inmediata con un coste relativamente bajo 4. Ofrece varios métodos para la evaluación de la función sistólica. Los más comunes siguen siendo la FEVI, calculada como la diferencia entre el volumen telediastólico y el volumen telesistólico dividida por el volumen telediastólico 4. La FEVI es una de las medidas mejor estudiadas en medicina cardiovascular para el diagnóstico y la estratificación del riesgo 4.

 Se realizaron varios rastreos ecocardiográficos para determinar su estructura e incluso verificar su diagnóstico, para nuestro análisis es de gran relevancia el antecedente de la realización de la biopsia con ventana pericárdica. El pseudoaneurisma se encontraba muy posterior y basal comprometiendo al tabique interventricular sitio poco frecuente lo que causó grandes dudas de su afiliación fisiopatológica y del compromiso de ambos ventrículos. El eco transesofágico fue definitorio en este caso siendo una herramienta útil para el diagnóstico de pseudoaneurisma y análisis de secuelas quirúrgicas.

 

CONCLUSIONES

La recolección de datos en la historia clínica fue muy útil en descifrar la etiología del pseudoaneurisma ventricular que fue posterior a la biopsia de pericardio, tanto el ecocardiograma transtorácico como el ecocardiograma transesofágico nos ayudó en la relación topográfica, diagnóstico, mediciones y tuvo una gran relevancia en el pronóstico pre y postquirúrgico.

La técnica quirúrgica fue una difícil decisión por la localización del pseudoaneurisma, considerando el tiempo de bomba de circulación extracorpórea que se requiere para este tipo de cirugía, sin embargo, se logró una corrección exitosa de la lesión.

 

RESPONSABILIDADES ÉTICAS:

No se menciona datos de filiación de paciente ni lugar del evento.

CONFLICTO DE INTERESES: 

Los autores no refieren ningún conflicto de interés en esta obra.

 

BIBIOGRAFÍA

1.                 Braunwald, Tratado de Cardiología, undécima edición, sección VII enfermedades cardiovasculares ateroscleróticas, capítulo 59 infarto de miocardio con elevación del segmento ST: tratamiento,  pág. 1123

2.                 Roberts WC, Morrow AG. Pseudoaneurysm of the left ventricle: an unusual sequel of myocardial infarction and rupture of the heart. Am J Med. 1967;43:639-44.

3.                 Moreno R, Gordillo E, Zamorano J, Almeria C, Garcia-Rubira JC, Fernandez-Ortiz A, et al. Long term outcome of patients with postinfarction ventricular pseudoaneurysm. Heart. 2003;89:1144-6.

4.                  Braunwald. Tratado de Cardiología, undécima edición, sección III evaluación del paciente, capítulo 14 ecocardiografía, pág. 174

 

 

 

 

Esta obra está bajo una licencia internacional Creative Commons Atribución-NoComercial-SinDerivadas 4.0. Los autores mantienen los derechos sobre los artículos y por tanto son libres de compartir, copiar, distribuir, ejecutar y comunicar públicamente la obra.