METÁSTASIS OCULAR Y CEREBRAL DE UN CARCINOMAS DIFERENCIADO DE TIROIDES, DOS CASOS RAROS

 

DR. FERNANDO MONCAYO A.

Líder del departamento de cirugía del Hospital Abel Gilbert Pontón

Docente de la Universidad Estatal

Guayaquil – Ecuador

Correo: fmoncayo01@hotmail.com

Correo: fernando.moncayoa@ug.edu.ec

ORCID: https://orcid.org/0000-0003-4806-3441

                                                          

 

Publicado   como   artículo   científico. Revista Facultad de Ciencias Médicas -Vol.  4 Edición N°2 Periodicidad semestral Julio-Diciembre ISSN 2661–6726

 

RECIBIDO: 16/03/2023

APROBADO: 08/08/2023


 

RESUMEN

    El   carcinoma diferenciado de tiroides (papilar y folicular) es la neoplasia endocrina más frecuente, pero solo ocupa el 1% de todos los canceres y de este porcentaje pequeño solo presentan metástasis a distancia de forma atípica en un aproximadamente 5 a10%. Es una impactante manifestación del cáncer en general, sobretodo en etapa avanzada y de larga evolución, variedad histológica agresiva, lo que implica un peor pronóstico, el diagnostico se sustenta en las imágenes obtenidas (Gold estándar) se por resonancia magnética o por tomografía computarizada

Se presenta dos casos de carcinoma de tiroides avanzados o vultuosos que presentaron metástasis ocular y cerebral respectivamente, su forma de presentación clínica, diagnóstico y tratamiento. Siendo una manifestación poco frecuente o rara del carcinoma papilar de tiroides lo que hace interesante los casos.

 

Palabras claves:  carcinoma de tiroides, metástasis ocular, metástasis cerebral

                         

SUMMARY

 

Differentiated thyroid carcinoma (papillary and follicular) is the most frequent endocrine neoplasia, but it only occupies 1% of all cancers and of this small percentage only present atypical distant metastases in approximately 5 to 10%. It is an impressive manifestation of cancer in general, especially in an advanced stage and long evolution, aggressive histological variety, which implies a worse prognosis, the diagnosis is based on the images obtained (gold standard) by magnetic resonance or computed tomography

Two cases of advanced or vultuous thyroid carcinoma that presented ocular and cerebral metastases respectively, their clinical presentation, diagnosis and treatment are presented. Being an infrequent or rare manifestation of papillary thyroid carcinoma, which makes the cases interesting.

 

Keywords: thyroid carcinoma, ocular metastasis, brain metastasis

 

INTRODUCCIÓN

 

El   carcinoma diferenciado de tiroides (papilar y folicular) es la neoplasia endocrina más frecuente, pero solo ocupa el 1% de todos los canceres; de este grupo, existen un subgrupo que da metástasis a distancia de forma atípica en un aproximadamente 5 a10% de forma sincrónica sobre todo en pacientes con tumores de gran tamaño (tumores primarios voluminosos) o tumor extendido localmente, por lo común en edad avanzada y sexo masculino1,7,8. La variante papilar es la causa más común de extensión local, con infiltración a los tejidos adyacentes, con predominio en los ganglios linfáticos incluyendo la laringe y el esófago; en comparación la variante folicular, causa un mayor número de metástasis a distancia. 10,13

Así mismo determinada variedad de carcinoma papilar de tiroides como es la de células altas, columnares y esclerosante difusa, ha demostrado una gran agresividad y metastatizan a lugares distantes.

Los hallazgos metastásicos del carcinoma diferenciado de tiroides en otros lugares son excepcionales, raras y generalmente relacionados a tratamientos incompletos, variedad histológica o retraso en el diagnostico9  Los órganos más frecuentes de metástasis del cáncer de tiroides es pulmón luego el de hueso, hígado, cerebro, piel y otros (ojo). 2,3,4,5.6

Las metástasis oculares pueden presentarse en el globo ocular y en la órbita; la diseminación metastásica tiene lugar vía hematógena, a través de la arteria carótida interna que da la arteria oftálmica y arterias ciliares; por lo cual la mayoría comprometen la coroides (zona con mayor irrigación del ojo). 11

La visión borrosa suele ser el síntoma más frecuente pueden producir disminución de la visión una vez que afecten la región macular puede ser por efecto directo de masa o indirectamente por desprendimiento de retina. Cuando la metástasis afecta la órbita podremos encontrar: restricción de motricidad, efecto en masa con proptosis (exoftalmos) y/o dislocamiento del globo ocular; manifestaciones inflamatorias: en la cual va existir dolor, quemosis y eritema; por último, manifestaciones funcionales en la cual hay alteración de los nervios cranianos (clasificación por Goldberg y Rootman).

Hay que anotar que el cáncer de mama12 es el que produce más metástasis a nivel ocular, siendo este el responsable de más del 50% de las metástasis observadas en ojo y órbita, luego el cáncer de pulmón.

La metástasis a nivel del sistema nervioso centrales es una impactante manifestación del cáncer en general, sobretodo en etapa avanzada y de larga evolución, variedad histológica agresiva, lo que implica un peor pronóstico; los canceres más frecuente que dan metástasis cerebral son el de pulmón, mama, melanoma, próstata otros como el de tiroides son casos mucho más excepcionales, por esta poca frecuencia de presentación hace que el tratamiento sea conflictivo y discutible.

En los pacientes oncológicos, la aparición de trastorno neurológicos y déficits focales nos da un alto índice de sospecha, El diagnostico se sustenta en las imágenes obtenidas (Gold estándar) se por resonancia magnética o por tomografía computarizada. El tratamiento de la metástasis cerebral es el uso de corticoides y anticonvulsivante en caso de edema cerebral, el especifico es la resección quirúrgica, radiocirugía con bisturí de rayos gamma (Gamma-Knife) y radioterapia en caso de irresecabilidad de la lesión. 13,14,15

CASO 1. (METÁSTASIS OCULAR)

Paciente de 71 años sexo femenino que acude a la consulta por presentar masa tumoral tiroidea voluminosa, disnea, disfagia además presenta tumoración temporo-orbitaria visión borrosa del globo ocular afecto, quemosis, lagrimeo, parálisis palpebral y exoftalmos de ojo derecho.  A la palpación se siente masa tumoral en región cervical, voluminosa, dura muy adherida a estructuras adyacentes (aéreas y vasculares) y múltiples adenopatías cervicales y torácicas. Además, presenta tumoración temporo–orbitaria derecha dura muy adherida que se introduce a cavidad orbitaria.

Se realiza biopsia por punción de tiroides y lesión endurada extraorbitaria, con el resultado de carcinoma papilar tipo columnar en ambas lesiones. Paciente fue tratada por el departamento de oncología clínica con Sorafenib por no haber resultados con radio-yodo.

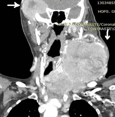
Ilustración 1 CA de tiroides y metástasis orbitaria

 


 

 

Fuente: Hospital de Especialidades Guayaquil “Doctor Abel Gilbert Pontón”.

Autor: Dr. Fernando Moncayo A.

 

Ilustración 2 Metástasis orbitaria

 


 

 

Fuente: Hospital de Especialidades Guayaquil “Doctor Abel Gilbert Pontón”.

Autor: Dr. Fernando Moncayo A.

 

 

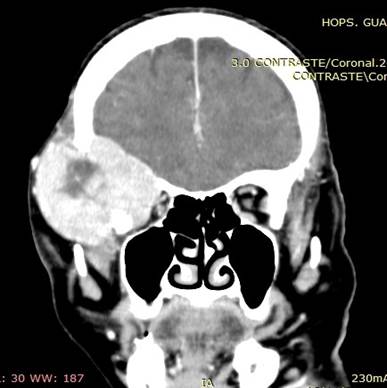
Ilustración 3 TAC: Ca. tiroides vultuoso y metástasis orbitaria

 

 


 

Fuente: Hospital de Especialidades Guayaquil “Doctor Abel Gilbert Pontón”.

Autor: Dr. Fernando Moncayo A.

 

Ilustración 4 TAC: metástasis orbitaria

 


 

 

Fuente: Hospital de Especialidades Guayaquil “Doctor Abel Gilbert Pontón”.

Autor: Dr. Fernando Moncayo A.

 

 

 

CASO 2 (METASTASIS CEREBRAL)

 

Paciente de 68 años de edad, que ingresa referida de otra institución por presentar más tumoral en región occipital derecha de gran tamaño dura muy adherida, dolorosa con circulación colateral; paciente desorientada en tiempo y espacio, irritable y poco colaborativa, en algunas ocasiones ha presentado convulsiones tónico clónicas. Además, presenta masa cervical voluminosa, a nivel tiroidea, dura, adherida a estructura aéreas y vasculares.

Se toma biopsia con aguja gruesa de lesión tumoral cervical y tumoración occipital encontrando carcinoma papilar variante oncocitica.  Paciente fue tratada por el departamento de oncología clínica en forma paliativa y con Sorafenib por no haber mejoría con radio-yodo.

 

 

Ilustración 5 Informe de Histopatología

 


 

Fuente: Hospital de Especialidades Guayaquil “Doctor Abel Gilbert Pontón”.

Autor: Dr. Fernando Moncayo A.

 

Ilustración 6 Metástasis ósea y cerebral con gran vascularización.

 


 

 

Fuente: Hospital de Especialidades Guayaquil “Doctor Abel Gilbert Pontón”.

Autor: Dr. Fernando Moncayo A.

 

 

Ilustración 7 Ca de tiroides vultuoso

 

 


 

Fuente: Hospital de Especialidades Guayaquil “Doctor Abel Gilbert Pontón”.

Autor: Dr. Fernando Moncayo A.

 

 

Ilustración 8 Ca de tiroides y metástasis cerebral.

 

 


 

Fuente: Hospital de Especialidades Guayaquil “Doctor Abel Gilbert Pontón”.

Autor: Dr. Fernando Moncayo A.

 

 

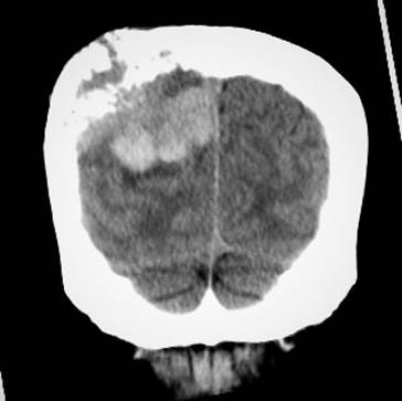
Ilustración 9 Metástasis cerebral con destrucción occipital.

 


Fuente: Hospital de Especialidades Guayaquil “Doctor Abel Gilbert Pontón”.

Autor: Dr. Fernando Moncayo A.

 

 

 

Ilustración 10 Metástasis cerebral con destrucción del occipital.

 

 

 


Fuente: Hospital de Especialidades Guayaquil “Doctor Abel Gilbert Pontón”.

Autor: Dr. Fernando Moncayo A.

 

DISCUSIÓN

La metástasis a nivel del sistema nervioso centrales es una impactante manifestación del cáncer en general, sobretodo en etapa avanzada y de larga evolución demuestra la importancia del tratamiento integral de los signos y síntomas del cáncer, un concepto asociado a muerte, pero más aún debe tratarse las manifestaciones de sus metástasis, en este caso en la metástasis del sistema nervioso central y ocular. 

Los déficits motores y neurológico, la falta de sueño, la preocupación, fatiga, la perdida de la visión, el dolor se suman el sufrimiento, reacciones sociales, económica, sexuales, culturales y religiosas; además de un tratamiento oncológico violento requiere un tratamiento neuro-psicológico-psiquiátrico.

Las pruebas de imagen con el TAC y RMN son de gran ayuda para realizar una orientación diagnóstica, aunque el diagnóstico definitivo se realiza por biopsia.

El tratamiento del CDT ha sido objeto de numerosas publicaciones y se basa en tres pilares fundamentales y sucesivos: tiroidectomía total con revisión de las cadenas ganglionares, radio yodo y tratamiento supresor con l-tiroxina, el dilema va ser siempre el tratamiento del paciente con metástasis en este caso ocular y del sistema nervioso central, tratamiento incierto dada su rareza.

 

CONCLUSIÓN

Son pocos los casos publicados de metástasis cerebral y ocular reportados en la literatura mundial, debido a su baja frecuencia de presentación.  Ambas patologías coincidentes en la evolución tórpida, son excepcionales, raras y generalmente relacionados a tumores primarios voluminosos, tratamientos incompletos, variedad histológica (agresiva), retraso en el diagnóstico y a la edad avanzada.

 

CONFLICTO DE INTERES:

El autor refiere no tener ningún conflicto de interés.

Fotos exclusivas del autor.

 

BIBIOGRAFÍA

1.                 Angelica Schmidt. Metástasis a distancia en cáncer diferenciado de tiroides: diagnóstico y tratamiento. rev argent endocrinol metab. 2 0 1 7;54(2):92–100. http://dx.doi.org/10.1016/j.raem.2017.05.001

2.                 A. Márquez García. Metástasis cutáneas craneocervicales de un carcinoma papilar de tiroides variedad folicular. Actas Dermo-Sifiliográficas. Volume 107,Issue 1, January–February 2016, Pages 83-85. https://doi.org/10.1016/j.ad.2015.06.008

3.                 M.C. Fernández-Antón Martínez. Cutaneous Metastases of Internal Tumors. Actas Dermosifiliogr. 2013;104(10):841-853

4.                 José Alberto Hermida Pérez. Carcinoma papilar tiroideo con metástasis osteolíticas en una vértebra lumbar. med gen y fam. 2 0 1 6;5(4):164–168. https://doi.org/10.1016/j.mgyf.2016.03.002

5.                 Karen Fallas Chinchilla. Metástasis ocular asociada a cáncer de hígado.Revista Médica de Costa Rica Y Centroamerica LXXI  2014 (611) 605 – 608.

6.                 Guilherme Brasileiro de Aguiar. Metástasis intraorbitárias de cáncer de mama. Rev. Chil. Neurocirugía 43: 2017. 34-36.

7.                 Carlos Abdala Caballero. Metástasis Oculares de Carcinoma Mamario. Rev. Sociedad Colombiana de Oftalmología 2015. Vol. 48 (2): 140 – 150.

8.                 Ferrer García JC. Metástasis poco habituales del carcinoma diferenciado de tiroides. An Med Interna (Madrid) 2002; 19: 579-582.

9.                 Jorge Badilla Mora. Cáncer papilar, metástasis poco habitual del carcinoma diferenciado de tiroides. Revista médica de Costa Rica y Centroamérica lxviii  2011 (599) 485-489.

10.            Granados-García M, Gallegos F, Gurrola-Machuca H, Flores-Hernández L, Pacheco-Bravo I, Villavicencio-Queijeiro MA, et al. Guía de manejo del nódulo tiroideo y del cáncer diferenciado de tiroides de la Sociedad Mexicana de Oncología. Gac Mex Oncol. 2018;17(Supl):5-31.

11.            M. Chacón González. Metástasis coroidea como primera manifestación de carcinoma papilar de tiroides: a propósito de un caso. Archivos de la Sociedad Española de Oftalmologia. Vol. 95. Núm. 2. 2020 páginas 94-97. DOI: 10.1016/j.oftal.2019.10.004

12.            T. Checa. Metástasis oculares en el cáncer de mama. Revista de Senología y Patología Mamaria - Journal of Breast Science- Vol. 11. Núm. 2. 1998 páginas 77-81.

13.            José F. Sánchez-Sánchez. Metástasis orbitaria e intracraneal secundaria a carcinoma de tiroides. Rev. Cirugía y Cirujanos. 2021;89. DOI: 10.24875/CIRU.20001274.

14.            Sergio Merino. Metástasis cerebral de carcinoma diferenciado del tiroides. Rev. chil. endocrinol. diabetes 2011; 4 (1): 23-25

15.            Alberto Valarezo Chuchuca. Metástasis cerebral de carcinoma papilar de tiroides. Rev. Chil. Neurocirugía 2022; 48 (2): 85-90.

Esta obra está bajo una licencia internacional Creative Commons Atribución-NoComercial-SinDerivadas 4.0. Los autores mantienen los derechos sobre los artículos y por tanto son libres de compartir, copiar, distribuir, ejecutar y comunicar públicamente la obra.