
SÍNDROME DE
WELLENS
Reporte de un caso
DR.
ROGER TENEZACA RODRÍGUEZ
Especialista en Cardiología
Magister en Docencia en Educación Superior
Cardiólogo Clínico Hospital Guayaquil Abel Gilbert Pontón
Docente Universidad de Guayaquil
Miembro Sociedad Interamericana de Cardiología
Miembro Sociedad Argentina de Cardiología
Guayaquil – Ecuador
Correo: drtenezacar@gmail.com
ORCID: https://orcid.org/0009-0001-9282-2399
Publicado como artículo científico. Revista Facultad de Ciencias Médicas -Vol. 4 Edición N°2 Periodicidad semestral Julio-Diciembre, ISSN 2661–6726
RECIBIDO: 20/08/2023
APROBADO: 02/11/2023
RESUMEN
Se trata de un paciente masculino de 61 años que ingresa por el servicio de emergencia. En la anamnesis presenta sedentarismo y sobrepeso como únicos factores de riesgo y ningún antecedente cardiovascular previo. Ingresa con historia de ángor típico de dos días de duración, el primer electrocardiograma registrado muestra ondas T negativas, profundas y simétricas en las derivaciones precordiales. Este cuadro cumple con los criterios clínicos y electrocardiográficos del síndrome de Wellens, cuyo reconocimiento y apropiada intervención evitaría un potencial y extenso infarto de miocardio anterior.
Palabras claves: Síndrome de Wellens, electrocardiograma, infarto de miocardio.
SUMMARY
This is a 61-year-old male patient who was admitted through the emergency service. In the anamnesis he presents a sedentary lifestyle and overweight as the only risk factors and no previous cardiovascular history. He is admitted with a history of typical angina lasting two days. The first electrocardiogram recorded shows negative, deep and symmetrical T waves in the precordial leads. This condition meets the clinical and electrocardiographic criteria of Wellens syndrome, whose recognition and appropriate intervention would prevent a potential extensive anterior myocardial infarction.
Keywords: Wellens syndrome, electrocardiogram, myocardial infarction.
INTRODUCCIÓN
Uno de los motivos frecuentes de atención en los servicios de emergencias es el dolor torácico, el obtener una buena y adecuada historia clínica, realizar un electrocardiograma y la cuantificación de enzimas cardiacas son unas herramientas importantes en la definición de las manifestaciones clínicas y nos ayudaría en la conducta terapéutica posterior. Una identificación adecuada de patrones electrocardiográficos típicos permite seleccionar pacientes con alto riesgo de evolucionar a un infarto agudo de miocardio. El manejo adecuado de este grupo de pacientes permite cambiar la evolución de la enfermedad. Presentamos un caso clínico de síndrome de Wellens.
CASO CLÍNICO
Se trata de paciente masculino de 64 años, sin antecedente patológicos personales, sedentario, sobrepeso, no refiere antecedente quirúrgico, ni alergias medicamentosas, niega ingesta habitual de medicamentos. Estado basal asintomático cardiovascular, en el relato de su enfermedad actual refiere haber presentado 2 días previo a ingreso angor típico de moderada intensidad relacionado con el esfuerzo (caminar más de 2 cuadras), que mejoraba al reposo. Al ingreso a sala de emergencia presenta dolor torácico opresivo retroesternal, no irradiado, de intensidad 6/10, asociado a diaforesis, mientras caminaba, con tres horas de evolución, que calma luego de la administración de nitratos endovenoso y al reposo.
En la exploración física inicial la paciente se encuentra lúcido, orientado en tiempo, espacio y persona, en regular estado general, tolera decúbito dorsal. Sus funciones vitales son: PA 150/80, FC 90 Ipm, FR 18 rpm, SatO2 97% con FiOz 0.21. Piel tibia, llenado capilar adecuado, no signos de hipoperfusión, no edemas. En cuello no soplos, no ingurgitación yugular. En el aparato cardiovascular los ruidos cardiacos son rítmicos, de buena intensidad, no soplos, ausencia de tercer y cuarto ruido. Pulsos periféricos normales. Aparato respiratorio con murmullo vesicular adecuado en ambos campos pulmonares, no agregados. Resto del examen físico sin alteraciones.
En el primer electrocardiograma tomado al ingreso muestra: ritmo sinusal, FC 70 lpm, PR 160ms, QRS 100 ms, q en DIII, avF, segmento ST isoeléctrico, onda T negativa simétricas V2- V6, QTc 400 ms. (Ilustración 1).
Ilustración 1 Electrocardiograma de ingreso

Fuente: Hospital de Especialidades Guayaquil “Doctor Abel Gilbert Pontón”.
Diagnóstico de ingreso a emergencia fue: Síndrome coronario agudo sin elevación del segmento ST.
Los exámenes de laboratorio mostraron lo siguiente:
Hemoglobina 16 g/dl, creatinina 0.63 g/dl, urea 25 mg/dl, biomarcadores cardiacos leve aumentados, perfil de coagulación, glucosa, perfil hepático y electrólitos dentro de los rangos normales.
La radiografía de tórax sin patología pulmonar, mediastino normal, cardiomegalia grado I. (Ilustración 2)
Ilustración 2 Radiografía de tórax
![]() |
Fuente: Hospital de Especialidades Guayaquil “Doctor Abel Gilbert Pontón”.
La medicación recibida al ingreso fue: AAS 300 mg, VO; clopidogrel 300 mg, VO, enoxaparina 60mg SC cada 12h, nitroglicerina endovenosa en infusión.
La paciente permaneció en observación durante las siguientes 48 horas asintomático en reposo, donde recibió: ácido acetil salicílico 100 mg, clopidogrel 75 mg, isosorbide 10 mg cada 8 horas, enalapril 5mg cada día, enoxaparina60mg SC cada 12h, atorvastatina 40mg cada día.
Se realiza ecocardiograma que reporta:
· Fracción de eyección 49%, hipocinesia lateral, disfunción diastólica tipo I, dilatación leve de AI, hipertrofia septal leve.
Se programa cateterismo cardiaco
Los hallazgos fueron los siguientes:
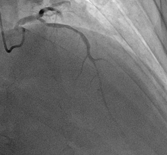
· Tronco coronario izquierdo sin lesiones angiográficas significativas; descendente anterior (DA) estenosis severa entre tercio proximal y medio, suboclusiva; estenosis tercio distal coronaría derecha sin lesiones angiográficas significativas. (Ilustración 3 y 4).
Ilustración 3 Arteriografía coronaria derecha

Fuente: Hospital de Especialidades Guayaquil “Doctor Abel Gilbert Pontón”.
Ilustración 4 Arteriografía coronaria izquierda, lesiones en arteria descendente anterior

Fuente: Hospital de Especialidades Guayaquil “Doctor Abel Gilbert Pontón”.
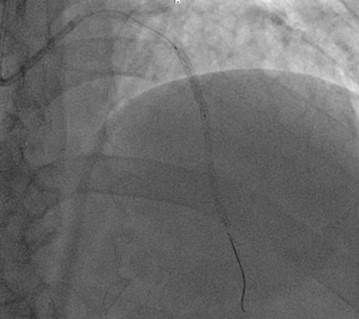
Se decidió realizar angioplastia coronaria percutánea a la DA colocándose 2 stent medicado 3 x 20 mm en tercio proximal y medio (Ilustración 5)
No hubo complicaciones durante el procedimiento.
Ilustración 5 Angioplastia con stent en descendente anterior.

Fuente: Hospital de Especialidades Guayaquil “Doctor Abel Gilbert Pontón”.
En control electrocardiográfico posterior a angioplastia presenta: cambios en las ondas T en comparación a electrocardiograma de ingreso (Ilustración 6)
Ilustración 6 Electrocardiograma posterior a angioplastia

Fuente: Hospital de Especialidades Guayaquil “Doctor Abel Gilbert Pontón”.
La paciente cursó asintomático durante su estancia hospitalaria hasta el momento del alta Medicación al alta: AAS 100 mg/d VO, clopidogrel 75 mg/d VO, atorvastatina 40 mg/d VO, carvedilol 6.25mg cada 12h VO, enalapril 5mg/d VO.
DISCUSIÓN
Se trata de un paciente de sexo masculino, con factores de riesgo cardiovascular que consulta en la emergencia por episodios de dolor torácico típico. Dentro del planteamiento como síndrome coronario agudo (SCA), dos exámenes son fundamentales para definir el riesgo y la conducta son: la dosificación seriada de las enzimas cardiacas, en este caso las troponina y el electrocardiograma (ECG). El ECG permite dividir los SCA en dos grupos: SCA con supra desnivel del segmento ST y SCA sin elevación del ST. Sobre este punto, el primer ECG de nuestra paciente presenta en las derivaciones V1 a V4 ondas T negativas, patrón electrocardiográfico típico de síndrome de Wellens tipo I con una fuerte asociación con lesión severa de la arteria descendente anterior, infarto agudo de miocardio de cara anterior y muerte.
Este hallazgo en el ECG permite definir al paciente de alto riesgo, lo cual condiciona una estrategia invasiva precoz, estando contraindicada la realización de pruebas funcionales de inducción de isquemia por el riesgo que conllevan.
En 1982, De Zwaan y Wellens describieron los hallazgos electrocardiográficos de un subgrupo de pacientes que fueron internados por angina inestable y que presentaban alto riesgo para el desarrollo de IAM anterior.
El Síndrome de Wellens constituye un tipo de presentación frecuente aproximadamente 18% de los SCA. Su relación está en que se asocia a estenosis severa de la porción proximal de la arteria coronaria descendente anterior, y si no es identificada y tratada precozmente, puede evolucionar al IAM y muerte.
En este grupo de pacientes se recomienda una estrategia invasiva precoz, desaconsejándose las pruebas funcionales de provocación de isquemia por el riesgo aumentado de desarrollar IAM anterior y muerte.
El síndrome de Wellens describe un patrón de cambios electrocardiográficos (ECG), particularmente ondas T bifásicas o profundamente invertidas en las derivaciones V2-V3, que es altamente específico de la estenosis proximal crítica de la arteria descendente anterior. (ver Tabla 1) También se le conoce como síndrome de onda T anterior descendente. Por lo general, cuando los pacientes con síndrome de Wellens acuden al servicio de urgencias no sienten dolor y, por lo general, las enzimas cardíacas son normales o sólo ligeramente elevadas. Sin embargo, es importante reconocer los patrones del ECG, ya que estos pacientes tienen un alto riesgo de sufrir un infarto agudo de miocardio de gran tamaño inminente en la pared anterior. De hecho, cuando los Dres. De Zwaan, Wellens y sus colegas identificaron por primera vez el síndrome a principios de la década de 1980 y observaron que el 75% de los pacientes con estos hallazgos en el ECG desarrollaban un infarto agudo de miocardio de la pared anterior en cuestión de semanas si eran tratados únicamente con tratamiento médico. El tratamiento definitivo suele implicar cateterismo cardíaco con intervención coronaria percutánea (ICP) para aliviar la oclusión.
Tabla 1 Criterios clínicos y electrocardiográficos de los pacientes con síndrome de Wellens.
|
Tabla. 1. Criterios clínicos y electrocardiográficos de los pacientes con síndrome de Wellens |
|
1) Paciente con clínica compatible de SCA |
|
2) Ondas T bifásicas o profundamente invertidas en V2 y V3 u, ocasionalmente, V1 a V4, V5 y V6 al ECG |
|
3) Enzimas cardíacas normales o mínimamente elevadas |
|
4) Segmento ST normal o mínimamente elevado (< 1 mm) |
|
5) Progresión habitual de ondas R en derivaciones precordiales |
|
6) Ausencia de onda Q patológica en derivadas precordiales. |
Fuente: Elaboración propia
Se reconocen dos patrones electrocardiográficos del Síndrome de Wellens: (ver Tabla 2) (Ilustración 7)
Tabla 2 Patrones electrocardiográficos del síndrome de Wellens.
|
Tabla 2. Patrones electrocardiográficos del síndrome de Wellens |
% |
|
|
Tipo 1 |
Ondas T bifásicas, con positividad inicial y negatividad terminal en derivaciones V2 - V3, en ciertas ocasiones se extiende hasta V6. |
25% |
|
Tipo 2 |
Ondas T profundamente invertidas en las derivaciones V2 - V3, también se pueden observar en derivaciones V1, V4, V5 y V6. |
75% |
Fuente: Elaboración propia
Ilustración 7 Patrones electrocardiográfico de síndrome de Wellens, tipo 1 y tipo 2.
|
|
|
Fuente: Elaboración propia
Los biomarcadores cardíacos, incluida la troponina, pueden ser falsamente tranquilizadores en pacientes con síndrome de Wellens, ya que con frecuencia se encuentran dentro de los límites normales. En un estudio prospectivo, sólo el 12% de los pacientes con patrón de Wellens en el ECG tenían enzimas cardíacas elevadas, y estas elevaciones eran menos del doble del límite superior normal.
El síndrome de Wellens representa un estado de enfermedad de las arterias coronarias previo al infarto. Por lo tanto, los factores de riesgo del síndrome de Wellens son los mismos que los de la enfermedad de las arterias coronarias, incluida la dislipidemia, la hipertensión, la diabetes, el estilo de vida sedentario, la obesidad, los antecedentes familiares y el tabaquismo. El patrón ECG del síndrome de Wellens es relativamente común en pacientes que presentan síntomas compatibles con angina inestable.
TRATAMIENTO
Una vez que se sospeche el diagnóstico de síndrome de Wellens se requiere procedimiento invasivo coronario, esto hace referencia a realizar una angioplastia coronaria de la arteria descendente anterior, adicional un tratamiento que incluya antiagregación plaquetaria, anticoagulación con heparina, considerar nitratos y betabloqueantes de ser necesario. Todos los pacientes sintomáticos internados a nivel hospitalario necesitan observación y monitorización continua hasta realizar el procedimiento invasivo. Se debe evitar una prueba de esfuerzo, ya que puede precipitar un infarto agudo de miocardio y muerte súbita. Tras la angiografía coronaria, se puede planificar la revascularización de la arteria coronaria.
DIAGNÓSTICO DIFERENCIAL
El diagnóstico diferencial para la onda T anterior invertida incluyen: lesión del sistema nervioso central que se presentan en los eventos cerebrovasculares hemorrágicos, también en la hipertrofia ventricular izquierda, en el bloqueo de rama derecha, en los casos de miocardiopatía hipertrófica, y embolia pulmonar, entre otros.
Existen imitaciones del síndrome de Wellens o el llamado "síndrome pseudo-Wellens", las causas de esto incluyen el consumo de cocaína, en el que el vaso espasmo coronario puede provocar el patrón típico de ECG de Wellens. También se ha demostrado que el consumo de marihuana produce el patrón de Wellens por razones poco claras. Otra causa menos común es el puente miocárdico, también se puede observar en la miocardiopatía de Takotsubo.
PRONÓSTICO
Si no se reconoce de manera temprana y por ese motivo no se trata adecuadamente, la enfermedad tiende a progresar hasta el gran infarto agudo de miocardio de la pared anterior, y esto podría provocar una morbilidad y mortalidad sustanciales. Por este motivo es muy importante el reconocimiento de este patrón electrocardiográfico.
CONCLUSIÓN
Presentamos el caso de un paciente que se internó por un síndrome coronario agudo de un alto riesgo en el cual se detalla la importancia de reconocer un patrón electrocardiográfico y la conducta a tomar teniendo en cuenta el significado y las posibles complicaciones que pueden ocurrir de no haber actuado de la manera adecuada. Este tipo de pacientes se beneficia de una estrategia invasiva precoz para disminuir la tasa de infarto agudo de miocardio y muerte. Por lo cual para lograr ese objetivo debe ser reconocido precozmente.
BIBIOGRAFÍA
1. Zwaan C, Bär FW, Gorgels A, Wellens H. Unstable angina: ¿are we able to recognize high-risk patients? Chest 1997; 112: 244-50.
2. Zwaan C, Bär FW, Wellens H. Characteristic electrocardiographic pattern indicating a critical stenosis high in left anterior descending coronary artery in patients admitted because of impending myocardial infarction [Abstract]. Am Heart J 1982; 103:730.
3. Rhinehardt J, Brady WJ, Perron AD. Electrocardiographic manifestations of Wellens’ syndrome. Am J Emerg Med 2002; 20: 638-43.
4. Tatli E, Aktoz M. Department of Cardiology, School of Medicine, Trakya University, Edirne, Turkey. Wellens’ syndrome: The electrocardiographic finding that is seen as unimportant. Case report. Cardiology Journal 2009; 16: 73-5.
5. Stankovic I, Kafedzic S, Janicijevic A. T-wave changes in patients with Wellens syndrome are associated with increased myocardial mechanical and electrical dispersion. Int J Cardiovasc Imaging. 2017 Oct;33(10):1541-1549.