ABSCESOS HEPÁTICO MÚLTIPLES POR PANTOEA AGGLOMERANS.
Tratado por Técnica mínimamente invasiva.
Caso infrecuente

DR. ROBERTO GUTIÉRREZ GÓMEZ
Servicio de Nefrología, Hospital Abel Gilbert Pontón
Correo: mdrobertoguti@gmail.com
ORCID: orcid.org/0000-0001-6075-0362
Guayaquil – Ecuador
DRA. CAROLINA VIVAR M.
Médico Postgradista de la UEES.
Servicio de Cirugía Hospital Abel Gilbert Pontón
Correo: dracarolinavivar@gmail.com
ORCID: orcid.org/0000-0002-3159-6148
Guayaquil – Ecuador
Dr. OMAR CHUNGATA P.
Cirujano Intervencionista Hospital Abel Gilbert Pontón
CORREO: dr_Omar_Chungata@hotmail.com
ORCID: orcid.org/0000-0001-5585-9523
Guayaquil – Ecuador
Publicado como artículo científico. Revista Facultad de Ciencias Médicas Vol. 5 Edición N°1 Periodicidad semestral Enero- Junio pp. 14-19 ISSN 2661–6726
RECIBIDO: 05/10/2023
APROBADO: 15/01/2024
RESUMEN
Las infecciones por Pantoea agglomerans han sido reportadas en brotes epidemiológicos en especial en las áreas de cuidados intensivos pediátricos; sin embargo, hay poca información que refleje de forma exhaustiva esta situación. La infección es de presentación clínica variable lo que incide en una baja presunción clínica siendo un factor de riesgo para el diagnóstico y tratamiento oportuno.
Presentamos el caso de un paciente que acudió por absceso renal y hepático con presencia de Pantoea agglomerans en hemocultivo que requirió tratamiento antibiótico dirigido y drenaje percutáneo del absceso.
Como conclusión, es necesario el reporte de estos casos infrecuentes evidenciando su patología diversa, necesidad de cultivos con su respectivo antibiotiograma, que permitirá redirigir el tratamiento antibiótico para la resolución del cuadro y en ciertos casos, el requerimiento del drenaje quirúrgico de los abscesos.
Palabras claves: Pantoea agglomerans - Absceso renal - Absceso hepático – Sepsis
SUMMARY
Pantoea agglomerans infections have been reported in epidemiological outbreaks, especially in pediatric intensive care areas; However, there is little information that comprehensively reflects this situation. The infection has a variable clinical presentation, which results in a low clinical presumption, being a risk factor for diagnosis and timely treatment.
We present the case of a patient who presented with a kidney and liver abscess with the presence of Pantoea agglomerans in blood culture that required targeted antibiotic treatment and percutaneous drainage of the abscess.
In conclusion, it is necessary to report these rare cases, showing their diverse pathology, the need for cultures with their respective antibiotiogram, which will allow redirecting the antibiotic treatment to resolve the condition and in certain cases, the requirement for surgical drainage of the abscesses.
Keywords: Pantoea agglomerans - Kidney abscess - Liver abscess - Sepsis
INTRODUCCIÓN
La infección por Pantoea agglomerans es una infección poco frecuente, que está asociada con brotes epidemiológicos y, por ende, con elevadas tasas de mortalidad. Los factores de riesgo son: pacientes inmunocomprometidos, bebes prematuros, personas adultas mayores, etc. (1)
El germen Pantoea es un bacilo anaerobio gram negativo, no encapsulado que pertenece a la familia de las bacterias Enterobacteriaceae. Habitualmente, estos gérmenes se encuentran en las plantas, el suelo, el agua y los alimentos. (2)
La clínica de esta infección es similar a la bacteriemia por otros gérmenes, con afectación orgánica diversa, por lo que su sintomatología va desde síntomas gastrointestinales, abscesos en órganos, leucocitosis, trombocitosis hasta presentarse con cuadro de sepsis severa, coagulación intravascular diseminada y shock. El diagnóstico generalmente es serológico con evidencia del germen en cultivos de sangre, orina, pus o aspirado traqueal. (1) En cuanto al tratamiento, la antibioticoterapia dirigida en conjunto con la remoción del foco infeccioso en ciertos casos es la pieza clave para la resolución clínica. Sin embargo, existe poca literatura acerca de este germen, su epidemiología, clínica y tratamiento siendo de relevancia clínica los reportes de casos que se presenten.
Presentamos el caso de un joven sin antecedentes patológicos, que acude a consulta con clínica de absceso renal y se indicó tratamiento antibiótico empírico sin embargo su clínica infecciosa no mejora, se recaba resultados de hemocultivo positivo para Pantoea agglomerans con su respectivo antibiograma, por lo que se decidió cambio de tratamiento antibiótico dirigido y se realizó nuevo estudio tomográfico donde se evidencia además de un absceso hepático el cual requirió drenaje, evolucionando de forma satisfactoria.
CASO CLÍNICO
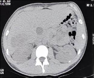
Se trata de un masculino de 17 años sin antecedentes que refiera. Acude derivado de otra institución por presentar cuadro clínico de 5 días de evolución por fiebre asociado a dolor lumbar derecho, que se presentó posterior a caída de su propia altura. Se realizó laboratorios donde presentó leucocitosis (Glóbulos blancos 14 mil/mm3) con predominio de neutrófilos (Neutrófilos 84%), cultivos periféricos, ecografía abdominal completa que mostró una imagen hipoecoica en polo superior de riñón derecho, urotomografía simple que mostró imagen hipodensa heterogénea compatible con absceso renal (Figura 1), ante lo cual se decide tratamiento antibiótico endovenoso con ceftriaxona y amikacina endovenosa.
Ilustración 1 UROTOMOGRAFÍA SIMPLE

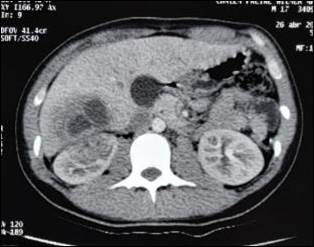
Al tercer día del tratamiento médico, presentó fiebre persistente que no cedía con antipiréticos, con presencia de aumento de leucocitosis (Glóbulos blancos 17 mil/mm3) a predominio de neutrófilos 92%, recabándose resultados de los cultivos periféricos: urocultivo negativo y hemocultivos periféricos con rescate de Pantoea sp. con resistencia probable a las betalactamasas, por lo cual se decide rotar antibiótico a imipenem y se solicitó nueva urotomografía simple y contraste endovenoso evidenciándose absceso renal e imagen abscedada en segmento VI hepático. (Figura 2)
Ilustración 2 UROTOMOGRAFÍA CONTRASTADO

Figura 1: Urotomografía. A) Simple: Se evidencia imagen hipodensa en polo superior de riñón derecho que se correlaciona con imagen hipodensa a nivel de lóbulo hepático derecho. B) Contrastado: En el segmento VI del lóbulo hepático derecho se evidencia una lesión ocupativa hipodensa tabicada con realce capsular periférico que mide 6,5 x 5 cm., está en contacto con el riñón, incluso en el parénquima renal se demuestra un área focal mediamente hipondesa compatible con absceso hepático con afectación al parénquima renal.
Por lo cual se decide de forma conjunta con servicio de cirugía general realizar drenaje hepático percutáneo guiado por ecografía, bajo normas de asepsia y antisepsia, con sedación e infiltración local de anestesia, se realizó con catéter multipropósito de 10 french, punción directa mediante técnica de seldinger en zona de hipocondrio derecho localizando segmento VI hepático obteniendo 20 ml. de material purulento que no pudo cultivarse dada las limitaciones que presentamos en el centro; cuadro clínico que evoluciona de forma favorable tras tratamiento antibiótico dirigido y drenaje de absceso.
El paciente evolucionó de forma estable, mantuvo el drenaje percutáneo por el lapso de10 días sin salida de secreción y se decide alta médica.
DISCUSIÓN
Pantoea agglomerans, denominado anteriormente como Enterobacter agglomerans, es un bacilo aerobio gramnegativo de la familia Enterobacteriaceae. Las especies del género Pantoea se pueden aislar a partir de materia fecal, plantas, suelo, así como a través de dispositivos médicos o exposición al polvo. La infección más comúnmente afecta a pacientes inmunocomprometidos y a lactantes asociándose a una alta mortalidad. (3) La prevalencia de esta infección se desconoce de forma exacta sobre todo en las unidades de cuidados intensivos debido a la literatura limitada acerca de este patógeno.
Se ha reportado brotes infecciosos secundario a las infecciones por Pantoea como ocurrió en los Estados Unidos en los años setenta. (4) En un estudio realizado por Bergman de 6383 pacientes entre 1994 y el 2005 en los Países Bajos, se notificó colonización por Pantoea en 125 pacientes (2 %) sin agrupamiento. Los sitios comunes de colonización fueron la tráquea, el tracto urinario y el tracto intestinal. (4) (5)
Por su parte Cruz y colaboradores realizaron un estudio de revisión retrospectiva de los resultados de microbiología a partir de sangre, dispositivos, orina, sitios de punción y drenaje de abscesos en un hospital pediátrico en Texas, desde 2000 al 2006, donde se identificó el germen P. agglomerans en 88 cultivos de pacientes repartidos de la siguiente manera: 53 en sitios estériles, 26 en esputo, 3 en orina, 3 en hisopado de superficie y 2 de hisopado orofaríngeo, evidenciando los distintos lugares de presentación del germen.
Ante lo descrito previamente, se muestra la diversa presentación clínica de este tipo de infección que van desde síntomas inespecíficos, infecciones localizadas, cutáneas, de huesos, hasta cuadro de bacteriemias como punto de partida de infección en otros órganos o de dispositivos médicos, que se dan especialmente en pacientes inmunocomprometidos o inclusive pueden presentarse como bacteriemia espontánea. En cuanto al diagnóstico, se realiza con la toma de cultivos en muestras de sangre, orina, secreción traqueal y de dispositivos médicos. (6)
Con respecto al tratamiento se basa en el tratamiento antibiótico dirigido según el reporte del antibiograma. En un estudio de cohorte se evidenció que en el 100% de los reportes de antibiograma resultaron en la sensibilidad a cefotaxima, ceftazidima, piperacilina-tazobactam, imipenem, ciprofloxacina, gentamicina y amikacina, sin embargo, en ciertos casos se requirió el retiro del dispositivo y/o drenaje del absceso de forma complementaria. (6) (7)
El caso que exponemos se da ante la necesidad de contar más información acerca del germen, su epidemiología, mecanismos patogénicos, diagnóstico, tratamiento y su impacto clínico en la morbi-mortalidad, siendo de utilidad médica los reportes de estos casos.
En este caso evidenciamos la no relación con comorbilidades previas, la presencia de abscesos múltiples en dos órganos, que presumiblemente pudieron haberse presentado por la íntima relación anatómica de los órganos, además de tener como sospecha la diseminación hematógena, sin poder esclarecer de forma exacta su mecanismo de diseminación. Además, se pudo demostrar que, tras la detección del germen y el tratamiento antibiótico dirigido, requirió el drenaje del absceso hepático a través de una técnica mínimamente invasiva del foco infeccioso, resultando en una evolución favorable del paciente.
Dentro de nuestras limitaciones fue la dificultad en el estudio bacteriológico de la muestra obtenida del drenaje del absceso hepático, dado que no contábamos con los respectivos frascos de cultivos en la institución. Así como realizar control tomográfico de la lesión por problemas técnicos de la máquina.
CONCLUSIÓN
Como conclusión podemos mencionar que la Infección por Pantoea es una infección rara con tendencia a brotes epidemiológicos, donde el compromiso de órganos es evidente. Su presentación clínica es variable y el tratamiento con antibióticos dirigido es primordial, teniendo en cuenta que, en ciertas ocasiones, requiere resolución quirúrgica del foco infeccioso.
Confidencialidad de los datos
Los autores declaran que en este artículo no aparecen datos de pacientes.
Derecho a la privacidad y consentimiento informado
Los autores declaran que en este artículo no aparecen datos de pacientes.
Conflicto de intereses
El autor declara no tener ningún conflicto de interés.
BIBIOGRAFÍA
1. Ikwinder Preet Kaur, Sindhura Inkollu, Amulya Prakash, Haresh Gandhi, Mohsin Sheraz Mughal, Doantrang Du, "Pantoea agglomerans Bacteremia: Is It Dangerous?", Case Reports in Infectious Diseases, vol. 2020, Article ID 7890305, 4 pages, 2020. Https://doi.org/10.1155/2020/7890305
2. Büyükcam A, Tuncer Ö, Gür D, Sancak B, Ceyhan M, Cengiz AB, Kara A. Clinical and microbiological characteristics of Pantoea agglomerans infection in children. J Infect Public Health. 2018 May-Jun;11(3):304-309. Doi: 10.1016/j.jiph.2017.07.020. Epub 2017 Aug 2. PMID: 28780309.
3. Cruz, A. T., Cazacu, A. C., & Allen, C. H. (2007). Pantoea agglomerans, a plant pathogen causing human disease. Journal of clinical microbiology, 45(6), 1989–1992. Https://doi.org/10.1128/JCM.00632-07
4. Mani, S., & Nair, J. (2021). Pantoea Infections in the Neonatal Intensive Care Unit. Cureus, 13(2), e13103. Https://doi.org/10.7759/cureus.13103
5. Bergman, Klasina A. MD*; Arends, Jan P. MD†; Schölvinck, Elisabeth H. MD*. Pantoea agglomerans septicemia in three newborn infants. The Pediatric Infectious Disease Journal 26(5):p 453-454, May 2007. | DOI: 10.1097/01.inf.0000261200.83869.92
6. Kaur IP, Inkollu S, Prakash A, Gandhi H, Mughal MS, Du D. Pantoea agglomerans Bacteremia: Is It Dangerous? Case Rep Infect Dis. 2020 Apr 3;2020:7890305. doi: 10.1155/2020/7890305. PMID: 32313708; PMCID: PMC7160720.
7. Asai, N., Koizumi, Y., Yamada, A., Sakanashi, D., Watanabe, H., Kato, H., Shiota, A., Hagihara, M., Suematsu, H., Yamagishi, Y., & Mikamo, H. (2019). Pantoea dispersa bacteremia in an immunocompetent patient: a case report and review of the literature. Journal of medical case reports, 13(1), 33. https://doi.org/10.1186/s13256-019-1969-z
Esta obra está bajo una licencia internacional Creative
Commons Atribución-NoComercial-SinDerivadas 4.0. Los autores mantienen los
derechos sobre los artículos y por tanto son libres de compartir, copiar,
distribuir, ejecutar y comunicar públicamente la obra.