OBSTRUCCIÓN INTESTINAL POR CALCULO BILIAR: ÍLEO BILIAR (UN CASO)

DR. PEDRO JURADO VASQUEZ
Cirujano del área de emergencia
Hospital Abel Gilbert Pontón.
Guayaquil – Ecuador
Correo: pedrini28@hotmail.com
ORCID: https://orcid.org/0009-0008-0055-4456
DR. ALEX CRUZ VELASCO
Cirujano del área de emergencia
Hospital Abel Gilbert Pontón.
Guayaquil – Ecuador.
Correo: dralexcruzv@hotmail.com
ORCID: https://orcid.org/0009-0003-2141-6363
DR. JOS LUIS BORJA OCHOA
Cirujano del área de emergencia
Hospital Abel Gilbert Pontón.
Guayaquil – Ecuador.
Correo: Jose.borjaoc@ug.edu.ec
Publicado como artículo científico. Revista Facultad de Ciencias Médicas -Vol. 4 Edición N°2 Periodicidad semestral Julio-Diciembre, ISSN 2661–6726
RECIBIDO: 16/04/2023
APROBADO: 05/08/2023
RESUMEN
Se considera como una complicación de la colelitiasis con fistula colecisto duodenal y en rara ocasión colecisto-colónica. Se presenta cuando existe una fistula bilio-entérica como consecuencia de colecistitis aguda recurrentes donde la vesícula se adhiere al duodeno o al colon provocando necrosis y perforación de estos dos órganos que se encuentren en contacto.
El íleo biliar es una condición de pacientes de edad avanzada y con ello muchas veces con factores de comorbilidad, por lo cual la resolución inmediata del cuadro obstructivo es la mejor manera de disminuir la tasa de complicaciones en estos pacientes, es decir la resolución temprana.
Se presenta el caso de un paciente de sexo masculino, 68 años de edad, diabético, que debuta con dolor abdominal náuseas, vómitos, distensión abdominal intermitente, que se diagnosticó topográficamente como íleo biliar por la presencia de un cálculo intraluminal en el íleo cuya la resolución quirúrgica fue en un solo tiempo.
Palabras claves: íleo biliar, obstrucción intestinal.
SUMMARY
It is considered a complication of cholelithiasis with duodenal cholecyst fistula and rarely colonic cholecyst. It occurs when there is a bile-enteric fistula as a consequence of recurrent acute cholecystitis where the gallbladder adheres to the duodenum or colon, causing necrosis and perforation of these two organs that are in contact.
Gallstone ileus is a condition of elderly patients and therefore often with comorbidity factors, which is why the immediate resolution of the obstructive condition is the best way to reduce the rate of complications in these patients, that is, early resolution.
The case of a male patient, 68 years old, diabetic, who presented with abdominal pain, nausea, vomiting, and intermittent abdominal distension, was presented topographically as gallstone ileus due to the presence of an intraluminal stone in the ileus whose surgical resolution was in a single stage.
Keywords: gall ileus, intestinal obstruction.
INTRODUCCIÓN
La obstrucción mecánica intestinal por calculo biliar se denomina íleo biliar, es una emergencia quirúrgica que suele pasar desapercibida en el diagnostico debido a su baja incidencia, el sitio más común de la obstrucción es en el íleo distal y por lo común por un cálculo de más de 2 cms. Se considera como una complicación de la colelitiasis con fistula colecisto duodenal y en rara ocasión colecisto colónica1.
Ocupa aproximadamente el 4% de las causas de obstrucción intestinal en personas adulta, pero en paciente añosas aumenta su incidencia, predomina en el sexo femenino con una morbilidad del 50% y mortalidad de 25% que suele incrementarse cuando el diagnóstico es tardío2.
Fisiopatológicamente el íleo biliar se presenta cuando existe una fistula bilio entérica como consecuencia de colecistitis aguda recurrentes donde la vesícula se adhiere al duodeno o al colon provocando necrosis y perforación de estos dos órganos que se encuentren en contacto
Clínicamente se manifiesta como una obstrucción intestinal en un paciente añoso con antecedente de colecistitis litiásica aguda recurrentes, donde va a existir dolor con distensión abdominal, constipación, náuseas, vómitos etc. Con signos radiológicos de obstrucción intestinal (edema interasas, signo de pilas de monedas, etc.) donde se puede visualizar el cálculo de forma radio-opaco, de igual manera se puede diagnosticar con una tomografía simple de abdomen donde también se constatará la presencia del cálculo obstructivo. Con mayor sensibilidad diagnostica que la radiografía3-4.
Aunque no hay un tratamiento estandarizado se lo trata como una obstrucción intestinal es decir laparotomía más entero litotomía (extracción del cálculo), aunque si la paciente esta hemo dinámicamente estable se podría combinar con una colecistectomía más cierre de la fistula colecistoduodenal si así lo requiere el caso o lo permite5-6.
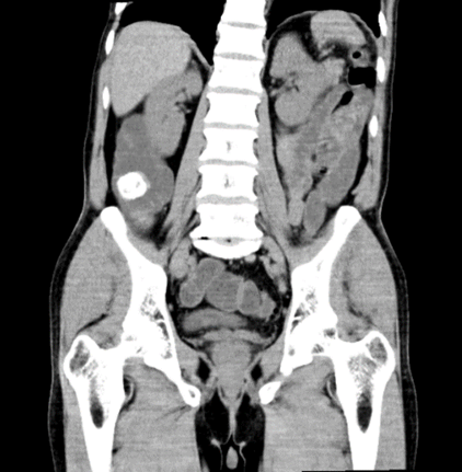
Ilustración 1 Tac con cálculo en válvula ileocecal
![]() |
Fuente: Hospital de Especialidades Guayaquil “Doctor Abel Gilbert Pontón”.
Autor: Dr. Fernando Moncayo A.
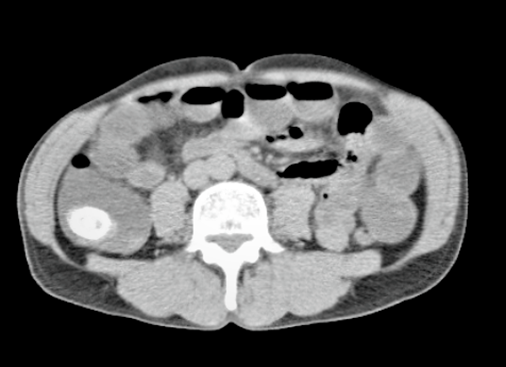
Ilustración 2 Tac con cálculo en válvula ileocecal
![]() |
Fuente: Hospital de Especialidades Guayaquil “Doctor Abel Gilbert Pontón”.
Autor: Dr. Fernando Moncayo A.
CASO CLÍNICO
Se presenta el caso de un paciente de sexo masculino, 68 años de edad, diabético, que debuta con dolor abdominal náuseas, vómitos, distensión abdominal intermitente con signo radiológico de obstrucción intestinal (edema interasas y signo de pilas de monedas), todos estos síntomas disminuyen luego de hidratación adecuada por lo cual se decide realizar tomografía computarizada la cual revela un cálculo de 2.5 a nivel de íleo terminal, por lo que se decide la intervención quirúrgica.
Entre los hallazgos tenemos; dilatación de asas intestinal con edema, cálculo de 2.5 cms de grosor en el interior de íleon terminal 5 cms de la válvula ileocecal, vesícula dura con paredes engrosadas y muy adherida al duodeno que al realizar la adherolisis se observa una comunicación entre la vesícula y el duodeno (fistula colecisto duodenal).
Se realiza. Colecistectomía abierta de forma anterógrada y reparación de perforación, rafia duodenal, previo desbridamiento de bordes, en dos planos; se realizó enterotomía con extracción de cálculo y cierre de la misma en dos planos. Ilustración 3,4,5.
El paciente luego de 72 horas de evolución satisfactoria es dado de alta y controlado por consulta externa.
Ilustración 3 Localización del calculo
![]() |
Fuente: Hospital de Especialidades Guayaquil “Doctor Abel Gilbert Pontón”.
Autor: Dr. Fernando Moncayo A.
Ilustración 4 Enterotomía
![]() |
Fuente: Hospital de Especialidades Guayaquil “Doctor Abel Gilbert Pontón”.
Autor: Dr. Fernando Moncayo A.
Ilustración 5 Extracción del cálculo.
![]() |
Fuente: Hospital de Especialidades Guayaquil “Doctor Abel Gilbert Pontón”.
Autor: Dr. Fernando Moncayo A.
CONCLUSIÓN
Hay que tomar en cuenta que el íleo biliar es una condición de pacientes de edad avanzada y con ello muchas veces con factores de comorbilidad.
Aunque no hay una técnica estandarizada en el tratamiento del íleo biliar, el objetivo principal siempre va a ser la resolución de la obstrucción intestinal7,8
La resolución inmediata del cuadro obstructivo es la mejor manera de disminuir la tasa de complicaciones en este paciente, es decir la resolución temprana; en estos pacientes se puede evidencia dos formas de tratamiento, en un tiempo y en dos tiempos quirúrgicos: La técnica más sencilla en los pacientes de edad avanzada y con pronóstico malo por factores de comorbilidad será la laparotomía con entero litotomía (un tiempo quirúrgico). En los pacientes sin obstrucción u obstrucciones intermitentes y sin factores de comorbilidad deberá tomarse en cuenta además de la entero litotomía, realizar colecistectomía y reparación de la fistula (un tiempo quirúrgico) F.P.M.A
La estabilización hidroelectrolítica y de los factores de comorbilidad (hipertensión, diabetes, etc.) es esencial antes de cualquier resolución quirúrgica.
En pacientes en estudio fue diagnosticado topográficamente puesto que presento obstrucción intestinal intermitente que nos dio tiempo para realizar varios estudios de diagnóstico y programa la cirugía atendiendo primero sus factores de comorbilidad como la diabetes. La evolución fue favorable aplicándose la técnica en un solo tiempo quirúrgico.
Conflicto de interés: el autor no refiere ningún conflicto de interés sobre el artículo.
Fotos: exclusivas del Dr. Fernando Moncayo A.
BIBIOGRAFÍA
1.- Guillén Martínez EA. Íleo biliar, diagnóstico y tratamiento oportuno de una enfermedad infrecuente, a propósito de un caso clínico. Cirugía Andaluza · febrero 2022. Volumen 33 · Número 1 · pág. 26.
2.- Vergara Morante T. íleo biliar como causa infrecuente de obstrucción intestinal. tratamiento quirúrgico. rapd online septiembre - octubre 2022 vol.45. nº5, pág. 175.
3.- Ploneda-Valencia C. El íleo biliar: una revisión de la literatura médica. Revista de Gastroenterología de México. 2017;82(3):248---254. http://dx.doi.org/10.1016/j.rgmx.2016.07.006
4.- Francisco Javier Mancilla Ulloa. Íleo biliar: reporte de un caso y revisión de la literatura. Cir Gen. 2014;3(2):121-125.
5.- Marcos I. Salazar-Jiménez. Íleo biliar, revisión del manejo quirúrgico. Cir Cir. 2018; 86:182-186. DOI: 10.24875/CIRU.M18000032
6.- Juan Manuel Reyes-Morales. Íleo biliar: un reto diagnóstico y terapéutico. Presentación de un caso clínico. Rev. Med Inst Mex Seguro Soc. 2023;61(1):106-10.
7.- Chung AYA, Duke MC. Acute biliary disease. Surg Clin N Am. 2018; 98:877-94
8.- Salazar Jiménez M, Alvarado Durán J, Fermín Contreras M, Rivero-Yáñez F, Lupian-Angulo AI, Herrera-González A. Íleo biliar, revisión del manejo quirúrgico. Cir Cir. 2018; 86:182-6.